審美治療
- トップページ
- 審美治療
矯正治療を検討されている方、こんな不安はありませんか
口を開けたときに見える銀歯や歯の汚れが気になる方は、審美歯科治療をおすすめします。
銀歯を白い素材に変えるだけで、口元の印象はとても良くなります。
当院では、見栄えの良さを追求するとともに噛み合わせなどの健康機能の向上を目指しています。
また、金属アレルギーの心配がない、セラミック素材を使用しています。
すぐに見た目を良くしたい方向けに最短一日で完了する特急治療やセレック治療を採用し、高精度なセラミック技術をご提供致します。
審美治療はこんな人におすすめ!
- •銀歯を白くしたい
- •過去に治療した詰め物や重ね物が取れてしまった
- •歯の隙間が気になる
- •歯の欠けが気になる
- •歯を削らずにできるだけきれいに見せたい
- •長持ちする高品質な被せ物が欲しい
美しい口元作りをサポートします
口元や歯並び、かみ合わせの見た目で気になることがあれば、遠慮なくご相談ください。
審美治療では、高品質の素材を用いてオーダーメイドの詰め物や被せ物を作成し、気になる歯の色や形、歯並びを美しく整えます。
患者さんの悩みや要望をカウンセリングでじっくりと聞き、幅広い素材や治療法から最適な解決策を提案することで、お口の中の複雑な問題を解決しています。
セラミストがご自身に最適な色合いをご提案します
天然の歯の色合いをセラミックで作る歯科技工士は「セラミスト」と呼ばれ、歯科技工士の中でも稀有な存在です。
当院では、前歯の審美的要素が必要な部分の治療には、必ずセラミストが色合いを決めます。
そのため、患者様に美しく最適なセラミックを提供することができます。
当院の審美歯科治療の特徴
1セレック治療で最短1日で美しい白い歯
セレックは、医療先進国であるドイツで開発された、コンピュータ制御で歯科補綴物を設計・製作するCAD/CAMシステムです。
従来の型取りは不要で、専用の光学カメラで口元を撮影(スキャン)し、撮影したデータをPCに取り込み、3D画像として再現します。
モニター上で修復物を設計し、設計データからミリングマシンが高精度で修復物を削り出します。
技工所を通さないので、これまで数週間かかっていたセラミックの歯が最短1日で完成し、すぐに美しい歯を手に入れることができます。
2見た目と健康の両立
審美治療と聞くと、「白く美しい歯」という見た目に目が行きがちですが、「歯の健康を末永く守る」治療でもあるため、虫歯やお口のトラブルの再発を防ぐことができるのです。
近年、銀歯などで金属アレルギーの方が増えていると言われていますが、セラミックは金属を含まないので、金属アレルギーの方でも安心して受けられる治療法です。
また、金属成分が溶けて歯ぐきが黒くなることも防げます。
3色と形へのこだわり
人によって似合う色と形は違います。
写真を解析し、約30色のセラミックの色合いからセラミストが選択し、複数の色の重ね合わせ、天然の歯と見分けがつかないほどの被せ物をご提供します。
標準的な色や形ではなく、個々の歯の特徴をとらえることを「キャラクタライゼーション」といいます。
そのためには、歯科技工士(セラミスト)に高い技術力が求められます。
セラミックの場合、新たな歯周病、加齢による歯色の変化などのリスクを抑えることができます。
4マイクロスコープと拡大鏡の使用
より精度を追求するため、最大5.5倍まで視野を拡大できる拡大鏡や最大20倍まで視野を拡大できる歯科用マイクロスコープを使用して治療を行っています。
5正確な歯型を採取
美しい前歯を作るには、高精度の歯型採取が必要です。
当院では口腔内スキャナーを利用し、コンピューターで歯型をデジタル化して高精度に再現します。
これにより複雑な形状でもピッタリの被せ物を作ることができます。
6優秀なセラミスト(歯科技工士)
被せ物の品質は、それを作るセラミストの技量によって大きく異なります。
当院では、優秀なセラミストが被せ物や人工歯の色合いを決定します。
より自然で個性的な色や形を作るために、デジタル写真で患者さんの歯や口の中の情報を伝達する取り組みを行っています。
7治療後のメンテナンス
審美歯科では、特に前歯の場合、天然の歯と人工歯の境目が見えないようセットします。
しかし、加齢や歯周病による炎症、ブラッシングのしすぎなどにより、歯ぐきがやせ、縁が露出して黒い線のようなものが見えることがあります。
また、セラミックでも年数が経つと少しくすんでくることがあります。
そのため、当院で定期的にクリーニング(PMTC)を行うことで、本来の白さを取り戻し、美しい状態を維持することができます。
最低でも4~6ヵ月に一度は歯科でのメンテナンスを行うことをおすすめします。
口元の美しさは顔全体の印象を左右します
保険診療より費用が高いからセラミック治療は敬遠されがちな患者様も多いです。
しかし、「将来の虫歯や歯周病のリスク」と「健康と見た目の維持のしやすさ、寿命」を考えると決して高い治療ではなく、長期的に見れば費用対効果の非常に高い治療です。
審美性以外では、銀歯などの他の修復物よりも長持ちしやすい、金属アレルギーの心配がない、虫歯になりにくいなど、健康な歯を長く保つことが期待できることが一番のメリットと言えます。
当院では、セレックとセラミックの特性を生かし、歯のかみ合わせや形、色に細心の注意を払い、患者様に心からご満足いただけるよう心がけています。
お気軽にご相談ください。
症例紹介
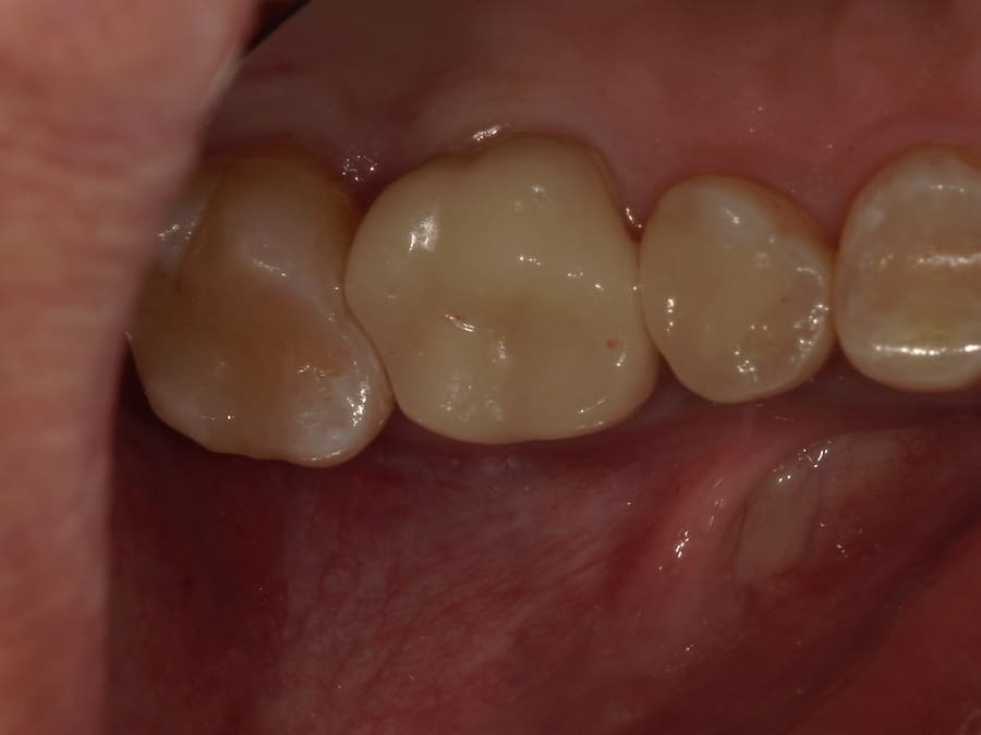
1セラミックインレー(CEREC治療)
治療前
治療後
| 患者様 | 40代男性 |
|---|---|
| 主訴 | 歯の間に食べ物が挟まる(虫歯) |
| 治療方法 | 虫歯が深いところに達していたため痛みが出る可能性があった。 一段階目として虫歯を削り保護材を入れて経過を観察。後日、保護材を外しセラミックのつめものを入れるCEREC即日修復を行った。 |
| 費用 | 88,000円(税込) |
| 治療期間 | 2カ月 |
| 治療回数 | 2回 |
| リスク | 治療中または治療後に軽い出血や痛みを伴う場合があります 治療により歯がしみることもあります 強い力がかかることよりごく稀に欠けたり壊れる可能性があります 咬み合わせ・歯ぎしりの強い方は、歯を守るためマウスピースの使用が必要なことがあります |
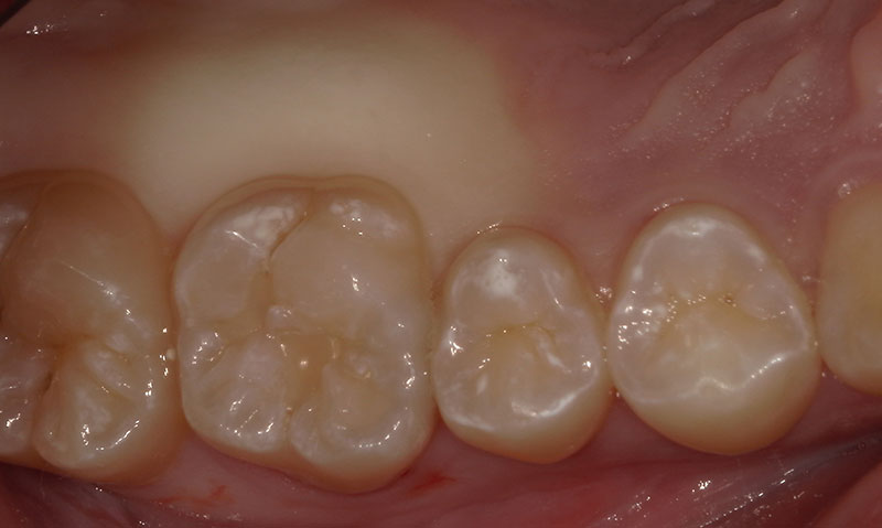
2セラミックインレー(CEREC即日治療)
治療前
治療後
| 患者様 | 30代女性 |
|---|---|
| 主訴 | 歯の間に食べ物が挟まる(虫歯) |
| 治療方法 | 虫歯を削り保護材を入れて経過を観察。その後、保護材を外しセラミックのつめものを入れるCEREC即日修復を行った。 |
| 費用 | 88,000円(税込) |
| 治療期間 | 2カ月 |
| 治療回数 | 2回 |
| リスク | 治療中または治療後に軽い出血や痛みを伴う場合があります 治療により歯がしみることもあります 強い力がかかることよりごく稀に欠けたり壊れる可能性があります 咬み合わせ・歯ぎしりの強い方は、歯を守るためマウスピースの使用が必要なことがあります |
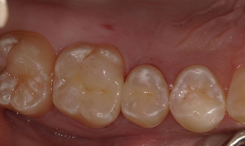
3セラミックインレー(CEREC即日治療)
治療前
治療後
| 患者様 | 50代女性 |
|---|---|
| 主訴 | 銀歯のつめものが取れた(虫歯) |
| 治療方法 | 外れた銀歯の内部が虫歯になっていた。 虫歯を削り3Dスキャンを行いミリングマシンでセラミックブロックからセラミックインレーを削りだした。 出来上がり次第セラミックのつめものを入れるCEREC即日修復を行った。 |
| 費用 | 88,000円(税込) |
| 治療期間 | 1日 90分 |
| 治療回数 | 2回 |
| リスク | 治療中または治療後に軽い出血や痛みを伴う場合があります 治療により歯がしみることもあります 強い力がかかることよりごく稀に欠けたり壊れる可能性があります 咬み合わせ・歯ぎしりの強い方は、歯を守るためマウスピースの使用が必要なことがあります |
4セラミックインレー
治療前
治療後
| 患者様 | 20代男性 |
|---|---|
| 主訴 | 歯肉から出血があり歯科検診を受けたい |
| 治療方法 | 検診の結果虫歯が見つかった。 (右上の5番目の歯と6番目の歯の近接している部分の2本) 治療前に歯みがきの指導を行い歯肉の回復を待った。虫歯は隣接している2本であったため一度に2本同時に治療することになった。 1回目 虫歯を染色し該当部分を削り除去した。歯の形をセラミックの作成に適した厚さで製作できるように整えた上で型を取りセラミックを作成した。 2回目 歯面の内部の汚れ染色し確認した上で洗浄した。その後セラミックのインレー(つめもの)を装着した。計2本。 |
| 費用 | 132,000円/本(税込) 計2本 264,000円(税込) |
| 治療期間 | 10日 |
| 治療回数 | 2回 |
| リスク | 治療中または治療後に軽い出血や痛みを伴う場合があります 治療により歯がしみることもあります 強い力がかかることよりごく稀に欠けたり壊れる可能性があります 咬み合わせ・歯ぎしりの強い方は、歯を守るためマウスピースの使用が必要なことがあります |
| コメント | 歯周病かもしれないという理由から歯科検診を受診されましたが、歯周病と虫歯を併発していました。 違和感から歯科検診を受けることは非常に重要です。 |
5セラミックインレー(焼成セラミック)
治療前
治療後
| 患者様 | 50代男性 |
|---|---|
| 主訴 | 銀歯のつめものをしていた奥歯に虫歯ができた 右上7番 |
| 治療方法 | 以前に他院で治療した銀歯のつめものがあった。 歯科検診を行った際に境目に隙間が出来ており虫歯になっていた。 削ってつめものを入れる必要性が生じたため、一段階目として虫歯を削り型を取りセラミックの製作を行った。 後日、セラミックのつめものを入れる修復治療を行った。 |
| 費用 | 132,000円 焼成セラミック 5500円 形成印象料 |
| 治療期間 | 15日 |
| 治療回数 | 2回 |
| リスク | 治療中または治療後に軽い出血や痛みを伴う場合があります。 治療により歯がしみることもあります。 強い力がかかることよりごく稀に欠けたり壊れる可能性があります 咬み合わせ・歯ぎしりの強い方は、歯を守るためマウスピースの使用が必要なことがあります |
| コメント |

