ラミネートベニア治療
- トップページ
- ラミネートベニア治療
自然な白さと美しい形を手に入れるための薄いセラミックを貼る審美治療です。
前歯の見た目に悩まれている方に、当院では精密な仕上がりと長期安定性を重視して提供しています。
ラミネートベニアとは?
ラミネートベニアは、歯の表面をごく薄く削り、もしくはまったく削らずに薄いセラミック(ベニア)を貼り付けて前歯の色や形を整える治療です。
- 歯の色が改善されます
- 形を整えることが可能です
- 隙間(すきっ歯)の改善ができます
- ホワイトニングで白くならない歯を白くすることができます
- 着色しないため白い歯の状態が長く続きます
「短期間で仕上がる」「痛みが少ない」という利点のある治療法です。
当院のラミネートベニア治療で行っている安心安全なポイント
① 仕上がり模型を必ず作製し“完成形を可視化”できます
事前に歯の形・厚み・ラインを確認し、治療した後に「こんな形になると思わなかった」ということにならないように事前に形や長さ、厚さが確認できます。
② 精密形成・接着技術できれいで長く使えるラミネートベニア治療を行います
歯科用顕微鏡(マイクロスコープ)を使って精密に歯を削ります。歯と歯肉の境界にぴったりと合うマージン設計ができます。
強固な接着により長期安定性を強化します。ラミネートベニア治療はレジンセメントの改良によってしっかりと接着できるようになりました。
③ 審美専門の技工士と連携してきれいなラミネートベニアを作ります
色調・透明感の再現性が高いラミネートベニアを作っています。1本の場合も自然に馴染むよう周囲の歯の写真を撮り、同様な見た目を再現します
④ 症例写真で仕上がりを確認できる
治療後は写真を撮影しますのでどのように見えているかを確認することができます。
ラミネートベニアのメリット
- ホワイトニングでは白くならない歯を自然に改善します
- 形・長さ・隙間の調整が可能です
- 短期間(2〜3回)で完了します
- セラミックのため経年で変色しません
- 歯を削る量が少ない(0.3〜0.7mm程度)治療です
- 歯を削らなくて良いケースもあります
ラミネートベニアのデメリットと注意点
- 強い衝撃で割れる可能性があります
- 完成後は色変更ができません
- 歯ぎしりが強い方は注意が必要ですので、かみ合わせや歯並びによっては事前の検査を行う必要があります
- 歯の状態によっては適応外のこともあります
ラミネートベニアはどんな人に向いている?
- 前歯の色が気になる方
- 歯の形を整えたい方
- すきっ歯を改善したい方
- セラミックの白い歯にしたい方
- 短期間で審美治療を完了させたい方
治療の流れ
① カウンセリング
当院は東京駅、京橋駅、宝町駅から徒歩で通院できるように駅から近い立地にございます。初回は希望の白さ・形をヒアリングいたします。
② 精密検査・形成計画の立案
かみ合わせや歯並びの確認、歯肉の確認、虫歯の確認などをいたします。
③ 形成・仮歯の装着
歯の形を整えたあとでラミネートベニアに似せて作成した仮歯を装着し、治療後の使用感を体験していただきます。かみ合わせに問題が無いかもわかります。
※仮歯の作製には別途費用がかかります
④ 技工士によるベニア製作
模型を見ながら、歯の形、長さ、厚さ、全体のバランスについて一緒に確認いたします。ご要望があればこの段階でお伝え頂ければ変更ができます。
歯の写真撮影も行い、現在の色について確認します。歯科技工士と連携し自然な仕上がりになるように製作します。
※仕上がり模型の作製には別途費用がかかります
白くしたい場合は?
周辺の歯も含めて白くしたい場合はホワイトニングを行うこともできます。ご自身の歯の色を測定し、ご希望の歯の色に向けてホワイトニングを行います。
歯科医院で行うオフィスホワイトニングとご自身でマウスピースを使って行うホームホワイトニング、両方併用するデュアルホワイトニングがあります。
ご希望の白さになった段階で歯の写真撮影を行い、ラミネートベニアを同様の白さで作成します。
⑤ ベニアの装着・噛み合わせ調整
装着前に仮に装着して形や色の最終確認を行います。ご希望通りに出来上がっていない場合は再製作を行い、ご満足できるラミネートベニアであることを確認できたうえで本接着を行います。
料金
| ラミネートベニア(1本) | ¥132,000 | |
|---|---|---|
| 仮歯(1本) | ¥11,000 | |
| 形成印象料 | ¥5,500 | |
| 仕上がり模型作製 | ¥11,000 | |
(税込)
※自費治療です
※保証期間についてはカウンセリングで説明いたします。何らかの理由で再治療が必要になってもご安心いただけるように制度があります。
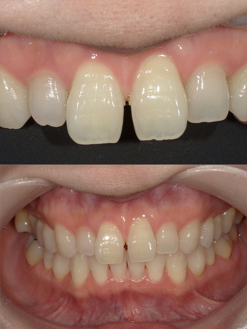
症例紹介
治療前
治療後
| 患者様 | 50代女性 |
|---|---|
| 主訴 | 上の前歯の間の隙間が気になる (右上12 左上12 計4本) |
| 治療方法 | 前歯を薄く削り形を整え、歯の型を取った。同日仮歯を作り貼り付けてかみ合わせに問題が無いか確認した。 後日、出来上がったラミネートべニアの模型で形を確認し問題が無いことに同意を得た上でラミネートべニアを作成した。 完成後装着し治療を完了した。 |
| 費用 | ラミネートベニア 132,000円×4本(528,000円) 模型作製 11,000円 仮歯 11,000円×4本(44,000円) 形成印象 5,500円×4本(22,000円) 合計 605,000円 |
| 治療期間 | 21日 |
| 治療回数 | 3回 |
| リスク | 治療中または治療後に軽い出血や痛みを伴う場合があります 治療により歯がしみることもあります 強い力がかかることよりごく稀に欠けたり壊れる可能性があります 咬み合わせ・歯ぎしりの強い方は、歯を守るためマウスピースの使用が必要なことがあります |
よくあるご質問
- Qベニアはどれくらい持ちますか?
- A使用状況により異なりますが、長期間の使用が可能です。もし取れても付け直すことができます。短期間で外れてしまう場合、ラミネートベニアの部分に強く力が掛かっていることがあります。事前の検査で歯に力が強くかかっている場合はセラミックのかぶせものに治療を変更するなど別の審美治療を行うことができます。
- Q痛みはありますか?
- Aほとんどの場合、痛みは最小限です。
- Q色や形は選べますか?
- A模型で仕上がりのイメージを事前確認できます。写真を撮影してご自身の歯と同じ色調に近づけることができます。今の色より白くしたい場合はシェードガイド(歯の色の見本)を使ってご希望の色を確認したうえで作ることができます。広い範囲の歯を白くする場合はホワイトニングを行った上でラミネートベニアの白さを合わせることができます。
ラミネートベニア治療をお考えの方へ
当院では、『精密形成』『接着技術』『仕上がり模型による事前確認』を重視した審美治療を行っています。
カウンセリングは随時受け付けています。
無理な勧誘はありませんので、お気軽にご相談ください。
カウンセリングのお時間は1時間程度です。東京駅、京橋駅、宝町駅から徒歩圏内ですので場所がわからない場合はご案内いたします。

